Teeth
Psychogenealogy and Dental Decoding
Teeth are unique structures in our bodies covered with a material composed of crystals. Tooth enamel, if we analyze microscopically, is made up of millions of microcrystals having electromagnetic polarity and the physical ability to store information in binary form. Such polarity can be changed instantly in resonance with emotional reactions in the person´s psyche and body. Trauma and high levels of stress affect certain areas of the cerebral cortex and at the same time are reflected in the teeth.
Dental Decoding is a powerful tool for self-knowledge. By decoding the teeth we can find the suffering experienced by our ancestors! Their conflicts are encoded in the position and shape of the teeth and their roots. Each type of bite and dental arch shows us how the person has expressed the relational emotional distress of their family tree. For the unconscious, this suffering is equivalent to a threat of death and must be expressed in the body in some way in order for the person to survive.
Remembering that the brain always seeks survival in the next instant, we use the same logic for Dental Decoding as we do for decoding the rest of the body. We look for resolved conflicts or active conflicts that the patient is currently living. The analysis of the different dental and paradental pathologies is extremely valuable and sometimes irreplaceable in finding the real or symbolic root cause of the client´s emotional or physical challenges.
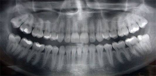
One of the key tools we use in Dental Decoding in addition to the clinical examination of the patient is the study of panoramic radiography (panoramic x-ray). We can use it to analyze several factors that are not seen with the naked eye including the shape and position of the roots of the teeth.

Using this technique, we can discover in the family tree what we need to heal. Dental Decoding offers the ability for us to heal our lives and the pain of our ancestors that has marked the direction of our unconscious destiny. Together with Psychogenealogy we can find our Happy Destiny!
Jason Kelly Thompson, Total Biology / Psychogenealogy / Dental Decoding
For information about workshops or to schedule a consultation Jason Kelly Thompson please click here.